051-861-7575

전체메뉴

연산당당한방병원은
언제나 여러분들
곁에 있습니다.
  • 상호명 : 연산당당한방병원
  • 대표자 : 성진욱
  • 사업자등록번호 : 154-59-00644
  • 주소 : 부산광역시 연제구 월드컵대로 82, 1~8층

도수 · 물리치료센터

척추와 관절의 정상적인 정렬
통증을 제압하는 자생력을 키워드립니다.

250평의 규모를 자랑하는 연산당당한방병원 도수·물리치료센터

당당 도수치료는 겉과 속을 같이 치료합니다.

뼈뿐만 아니라 근육의 불균형까지 함께 보고,
재발 방지를 위해 본인도 몰랐던 보행 패턴까지 바꿉니다.

▲ 스텝랩 보행검사를 통한 보행 패턴 파악

▲ 모아레 근육 균형 검사를 통한 근육 불균형 파악

도수치료의 효과, 눈으로 확인할 수 있을까요?

치료 받을 때만 아프지 않은 것 아닌가요?

단지 통증이 사라지는 것만이 도수치료의 목표가 아닙니다.

당당도수치료의 최종 목표는 스스로 통증을 조절할 수 있는 힘을 키우는 것입니다.

정확한 통증 원인을 찾아내는 검사

Step Lap Gait 장비

  • 인제대학교 물리치료학과 연구진과 공동연구
  • 자이로 센서 분야에서 세계적인 기술력을 가지고 있는
    일본 zero C seven 회사와 공동개발
  • 치료 전 근력검사, 보행분석검사, 근육밸런스 검사,
    전신엑스레이 검사 등을 통한 1:1 치료 설계
  • 치료 후 근력, 보행 속도 및 자세 검사를 통해
    개선 여부를 눈으로 확인
01

아픈 부위를 촬영한다고 진짜 아픈 원인을 찾을 수 없습니다.

실제 아픈 부위는 피해자일 가능성이 높습니다.
다리 저림이 문제라면 허리디스크 탈출을 의심하듯 무릎의 문제가 틀어진 발목이나 골반 때문일 수 있습니다.
그래서 가해자를 찾는 검사까지 같이 해야 합니다.

부위별 촬영

제대로 된 원인을 찾아 개선하지 않고
통증 부위에만 치료를 반복한다면
재발할 가능성이 높습니다.

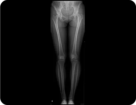
전신체형분석 X-선 검사

풀스파인 촬영으로
신체의 전체적인 문제를 파악하고
통증의 정확한 원인을 찾아
재발을 예방하고, 통증을 개선하는
치료를 합니다.

족압 검사
동적 검사
다리 길이 검사

머리부터 발끝까지 완벽하게 체형을 분석 후 통증을 만들어낸 가해자가 누군지를 찾아내서 치료합니다.

02

7가지 패턴으로 정확한 진단을 합니다.

다양한 패턴을 바탕으로 분석 후 계획을 세우기 때문에,
진단과 치료의 정밀도가 다릅니다.

당당 체형 분류법

  • HP(Handedness patterns)타입
  • KLP(Kyphosis-Lordosis Posture)타입 : 흉추후만증 - 요추전만증 자세
  • KHF(Knee&Hip Flex posture)타입 : 슬관절굴곡 - 고관절굴곡 자세
  • SBP(Sway - Back Posture)타입 : 굽은등 자세
  • MSBP(Modified Sway - Back Posture)타입 : 변형된 굽은등 자세
  • FBP(lat-Back Posture)타입 : 편평등 자세
  • MTP(Military-Type' Posture)타입 : 군인 자세

도수치료로 내과 질환을 치료할 수 있을까?

YES! 당당 내장기 도수치료

내장기에 문제가 발생하면 소화기능의 문제로 연결되고, 측만증과 체형불균형으로 이어질 수 있습니다.

  • 내장기 유착
  • 장기의 운동성 저하
  • 소화기능 저하
  • 복막 긴장 유발
  • 내장기와 척추 반사 작용
  • 체형불균형 / 기능적 측만증 발생

리버 리프팅 (Liver lifting) 기법이란?

내장기 도수치료 중 하나로, 정상적인 위치보다 내려온 간을 손으로 압력을 가하여 제자리로 되돌리는 전문적인 도수치료 기법

치료 진행 방법

내과검사 (내시경 등)

내장기 도수치료

내장기 약침/한약, 내장기 추나치료

내과 전문의
진료 및 처방

통증과 불균형의 원인을 찾는 당당 패턴 치료

질환별 맞춤 도수치료

통증 도수치료
한의사 + 의사 + 물리치료사의 협진을 통해
구조적·기능적 문제를 진단해
통증이 발생한 원인을 찾아 치료합니다.
척추측만증 집중 도수치료
체형과 해부학에 대한 전문적인 지식을 바탕으로
숨은 불균형까지 교정하며, 전문 슈로스
운동요법으로 척추측만증을 바로 잡습니다.
스포츠 재활 도수치료
스포츠 재활 전문 물리치료사의 정확한
근력 측정과 기능적 움직임 평가를 통해
통증을 치료하고 근력과 관절 가동범위를 회복하여
치료의 만족도를 높입니다.
수술 후 재활 도수치료
의사와 물리치료사의 충분한 논의 후
수술 봉합 부위 유착으로 인한 관절가동범위
제한을 풀어주고 통증이 발생하지 않도록
재활을 진행합니다.
체형교정 도수치료
몸을 하나의 유기체로 보고
전신을 분석해 원인이 되는 체형불균형을
함께 치료합니다.
성장 도수치료
성장판을 활성화 시키는 수기요법과
성장판 자극에 탁월한 운동치료를
동시에 적용하여 치료합니다.

연산당당한방병원의 다양한 재활 운동 장비

도수치료의 효과를 지속시키고 통증의 원인을 제거하기 위해서는 질환에 맞는 여러 가지 재활 운동이 필수적입니다.

운동 장비
러닝머신, 좌식 사이클, 입식 사이클, 레그 익스텐션, 토탈힙, 라잉레그컬, 스미스머신
MET 세트(의료용 운동장비)
본인의 근력과 관절 가동범위를 고려하여 맞춤형 운동재활을 할수 있는 메디컬 전용 운동장비로 손상부위의 빠른 재활을 돕습니다.
Sling
흔들리는 줄을 활용하여 능동적인 운동을 시행합니다. 중추신경계, 근골격계 손상 부위를 치료합니다.
소도구&매트운동
짐볼, 폼롤러 등 소도구와 매트를 활용하여 평소에 잘 사용하지 않는 근육을 강화하고 척추, 골반 운동을 통해 자세를 교정합니다.
검사 장비
스텝 랩, 보행 검사, 족압 측정기, 근력 측정기

쾌적한 공간에서 재활과 치료에 집중하세요.

총 250평 규모의 센터는 프라이빗한 1:1 개인 도수치료실과 넓고 쾌적한 탈의실을 갖추고 있습니다.

도수 · 물리치료센터
도수 · 물리치료센터
운동치료실
운동치료실
운동치료실
운동치료실
운동치료실
운동치료실
운동치료실
운동치료실
운동치료실
운동치료실
운동치료실
운동치료실
운동치료실
운동치료실
도수치료실
도수치료실
도수치료실
도수치료실
물리치료실
물리치료실
탈의실
탈의실
탈의실
탈의실
Why it is
DangDang

왜 도수 · 물리치료는 연산당당한방병원일까요?

보이지 않는 부분까지 세심하게 챙겼으니까!

Special 1.

논문으로 입증된 치료

연산당당한방병원은 논문으로 직접 확인할 수 있는 입증된 과학적 치료를 지향합니다.

Special 2.

1:1 개인별 맞춤형 치료 설계

물리치료는 모든 병원에서 제공하는 일반적인 치료일까요? 치료 조합의 설계에 따라 그 효과는 크게 달라집니다. 연산당당한방병원에서는 20년 경력의 정형외과 전문의가 1:1로 맞춤 치료를 설계합니다.

Special 3.

양한방 협진 치료

도수치료 X 물리치료 X 추나요법 X 침 X 부항
양한방 통합 물리치료법의 시너지 효과로 통증을 빠르게 개선하고,
치료 지속시간을 늘리며, 재발 가능성을 낮춥니다.

이제는 하세요!

CPM
고주파
레이저치료기
초음파 치료기
극초단파 치료기
간섭파(ICT)
신장분사치료(cryo)
체외충격파

영국산 포커스 타입의
BTL 체외충격파

몸이 점차 경직되어 뻣뻣해지면 간단한 동작에도 쉽게 피로를 느끼게 됩니다. 경직된 신체를 움직일 때는 아프지 않은 쪽의 팔다리에도 불필요한 힘이 들어가게 되며, 이로 인한 불편한 자세는 목, 허리, 무릎에 2차적인 통증을 유발할 수 있습니다.

커플링 패드 (Coupling pad)

커플링 패드는 어플리케이터에 장착되어 충격파를 치료부위에 적용합니다.

충격파에너지가 치료 부위에 조사되면 국소적인 통증감각의 감소, 근이완, 혈액의 미세순환 신진대사가 향상되며, 신생혈관의 생성을 유도하고 혈류 공급을 증가시킴으로서 병변조직의 치요를 촉진시켜 통증을 완화합니다.

약 250평 규모 속 다양한 운동 기구와 프라이빗한 개별 도수치료실까지
치료 후 셀프 재활방법까지 습득할수 있도록 국가 공인 물리치료사가 1:1 개인 맞춤 치료로 책임집니다.
다시 생각해도 도수·물리치료는
연산당당한방병원입니다.
Q&A

모든 궁금증,
연산당당이 풀어드립니다.

도수치료와 마사지의 차이점이 뭔가요?
마사지와 도수치료는 근육을 풀어주고 통증을 감소시키는 공통점이 있지만, 핵심적인 차이가 있습니다. 마사지는 근육 이완과 림프 순환 촉진을 위한 휴식 목적의 시술이며 단순히 굳어있는 근육을 푸는 것이 주된 목적입니다. 반면 도수치료는 의학적 분석과 검사 데이터(엑스레이, 초음파, 보행검사 등)를 기반으로 치료 계획을 수립하여 신경, 근육, 인대, 관절유착 등 다양한 문제를 전문적으로 파악하고 치료합니다.
예를 들어, 어깨 후면부 통증의 경우 마사지는 능형근, 광배근, 승모근 등 표면 근육을 푸는 데 집중합니다.하지만 도수치료는 경추 디스크 탈출, 사각근의 신경포착, 근육 문제, 견관절 가동범위 제한 등 다양한 원인을 파악하고 그에 맞는 치료를 제공합니다. 이러한 전문성 때문에 마사지는 일반인도 할 수 있지만, 도수치료는 국가가 인정한 물리치료사 면허를 가진 전문가만이 시행할 수 있습니다.
도수치료를 하고 나서 통증이 더 심해졌습니다.
치료후 신체가 치료에 반응하여 일시적으로 통증이 생길수 있는데 이를 교정후 증후군이라고 합니다. 이는 일시적인 현상으로 장기간 근육과 인대가 불균형 상태로 있었기 때문에 치료후 불균형이 호전되는 과정에서 근육과 인대의 재배열등으로 인해 통증이 생길 수 있습니다. 악화가 아니라 치료의 과정이라고 생각하시면 되고 치료를 진행할수록 통증의 강도는 점차 줄어들어 3~4회 이상 진행시 통증이 거의 생기지 않습니다.
도수치료를 얼마나 받아야 호전이 되나요?
도수치료의 호전 기간은 개인의 상태, 치료 목적, 치료에 대한 응답 등에 따라 다를 수 있습니다. 경추나 요추의 염좌 등과 같은 급성적인 질환은 4~5회 정도이며, 목허리 디스크 질환이나 퇴행성 척추관협착증등 신경계질환이나 만성적인 질환인 경우 30~40회 정도의 꾸준한 치료가 필요합니다. 단 통증이 호전된 이후에도 통증을 만든 근본원인을 바로 잡아주는 자세교정이나 골반, 척추의 안정화운동 및 생활습관 교정등 재발을 방지하는 시간도 필요합니다.
추나랑 도수랑 같이 받으면 뭐가 좋은가요?
추나요법은 뼈나 관절을 정상위치로 회복하는 치료이며, 도수치료는 과도하게 긴장한 근육을 이완해주는 치료입니다. 뼈나 관절을 정상위치로 회복하더라도 근육이 과도하게 긴장된 경우 혹은 근육이 이완되더라도 뼈나 관절이 잘못된 위치에 있는 경우에는 치료가 더디게 될 수 있습니다. 두가지 치료를 동시에 받게 된다면 치료기간을 더욱 단축시켜 효율적인 치료를 받으시실 수 있습니다.
임신 중에도 도수치료를 받을 수 있나요?
네, 가능합니다. 임신 중에도 허리와 골반, 목어깨 통증을 호소하시는 분들이 많습니다. 임신중에는 물리치료에 제한이 있기 때문에 도수치료가 더욱 효과적입니다. 몸에 자극이 크게 가지 않는 범위 내에서 도수치료가 가능합니다.
체형교정 도수치료 받으면서 운동해도 되나요?
체형교정을 위한 도수치료를 받을 때에는 되도록 골프나 야구, 볼링 등과 같이 한쪽방향으로 움직이는 운동은 피하시는 것이 좋습니다. 또한 과도한 무게를 드는 운동도 되도록 피해주시는 것이 좋습니다.

찾아오시는 길

부산광역시 연제구 월드컵대로 82, 1~8층

건물 주차장 무료 이용 가능합니다.

지하철 이용 시

1호선3호선 연산역 6번 출구에서 도보 460m

버스 이용 시

51번, 189번
  • 반도보라아파트
    하차 후 약 240m 거리 (물만골 방향)
  • 연산초등학교
    하차 후 약 200m 거리 (연산역 방향)

내원 전 간편하게 예약하세요!

홈페이지 내에 있는 모든 사진, 이미지, 디자인, 페이지에 대한 저작권 등의 권리는 연산당당한방병원에게 있습니다.
따라서 연산당당한방병원의 허락 없이 표절, 무단도용, 재편집을 금지합니다.

빠른상담

상담 신청을 위한 정보를 남겨주시면
보다 빠른 상담이 가능합니다.

로그인 후 이용해주세요.