051-861-7575

전체메뉴

연산당당한방병원은
언제나 여러분들
곁에 있습니다.
  • 상호명 : 연산당당한방병원
  • 대표자 : 성진욱
  • 사업자등록번호 : 154-59-00644
  • 주소 : 부산광역시 연제구 월드컵대로 82, 1~8층

휜다리

한국인들 O다리가 많은 이유? 20년 경력 한의사가 알려드립니다. #휜다리교정 #O다리교정 #X다리교

한국인들 O다리가 많은 이유? 20년 경력 한의사가 알려드립니다. #휜다리교정 #O다리교정 #X다리교

[닥터스] 엄지발가락으로 오다리를 교정한다?

[닥터스] 엄지발가락으로 오다리를 교정한다?

선천적인 다리길이차이도 체형교정이 될까요??

선천적인 다리길이차이도 체형교정이 될까요??

휜다리 교정,
수술 없이 치료가 될까요?

네, 비수술로 치료가 가능합니다.

경제적인 비용 등 여러 가지 부담이 따르기 때문에 수술은 최후의 보루로 생각하시는 것이 좋습니다.
수술은 절골술이기 때문에 결과가 극적일 수 있지만 비용과 재활기간, 추후 연조직의 불균형으로 인한 통증, 퇴행에 따른 틀어짐의 재발 등을 고려하면 비수술적 치료를 우선해야 합니다.

휜다리 1, 2기는 비수술을 적극적으로 권하고
3기도 비수술 치료로 효과
를 볼 수 있습니다.

휜다리 등급 분류
등급 1등급 2등급 3등급 4등급
무릎 사이 간격 2.5cm 미만 2.5~4.9cm 5.0~7.4cm 7.5cm 이상

당당은 휜다리의 분류 디테일이 다릅니다.

연산당당한방병원은 국내최초의 체형교정 네트워크 한의원에서 출발하였기 때문에 오랜 휜다리 치료 경험을 바탕으로 휜다리 유형을 좀더 세밀하게 분류해서 치료해왔습니다.

01

다리의 휜 모양에 따라

▲ O자 다리
▲ X자 다리
▲ 정상 다리

휜다리의 대표적 유형 2가지

O다리
  • 무릎이 외측으로 벌어지면서 다리 축이 변형됨
  • 체중부하가 다리 안쪽(내측)에 집중되어 내측 관절의 압력증가로
    무릎관절의 퇴행성 변화와 통증을 초래
  • 허벅지 안쪽 근육이나 엉덩이 근육이 약화되면 무릎 안정성이 떨어져 내반슬이 악화
  • 기전
  • 방치시
  • 악화요인
X다리
  • 무릎이 안쪽으로 모이면서 다리 축이 변형됨
  • 체중 부하가 다리 바깥쪽에 집중되어 외측 관절의 압력증가로
    무릎 통증, 불안정성, 관절 손상을 유발할 수 있음
  • 허벅지 바깥쪽 근육이 과도하게 발달하고 안쪽 근육이 약화되면 외반슬이 진행
02

발 모양에 따라

▲ 평발
▲ 요족
▲ 정상발
평발형 오다리
요족형 오다리
평발형 엑스다리
요족형 엑스다리
03

다리의 각도와 회전에 따라

경사형 휜다리
발의 변형이나 요족 및 걸음걸이 이상으로 무릎에 비정상적인 힘이 작용하며 생김
회전형 휜다리
고관절과 무릎이 내회전되어 발,발목 변형 동반되는 경우가 많고, 척추와 골반이 함께 틀어짐
복합형 휜다리
전면은 회정형 원다리처럼 보이나 경사형과 회전형 원다리 특징을 모두 가진 형태
특발형 휜다리
특발성측만증을 동반하거나 사고로 인한 경우 또는 다리 길이 차이 등 구조적 문제를 동반
04

측면부에서 휜다리의 정렬에 따라

정상
신전형 (Back knee)

사람마다 얼굴이 다르듯 휜다리도 다양한 패턴이 있습니다.

무릎 정상패턴과 신전패턴 2가지
경사 / 회전 / 복합 / 특발형 4가지
평발 / 요족 / 정상발 3가지
골반부정렬 6가지

총 144가지 타입

Know-how

당당만의 노하우

144가지 패턴 중 최다 빈도 8가지 패턴을 빠르게 확인하고
교정이 잘되는 4가지 타입 유형과 잘 안되는 4가지 타입 유형으로 분류하여 치료하는 것
왜 당당의 휜다리 회전교정일까요?

휜다리는 단순히 무릎 사이 간격이 벌어진 것이 아닙니다.
무릎 위의 대퇴골과 아래의 정강이뼈가 회전하면서 무릎까지 뒤로 빠지기 때문에 다리사이 간격이 넓어지는 겁니다.

당당 휜다리

발(아치)-발목-무릎관절-고관절-골반의 서로 다른 회전을 바로 잡는 기술입니다.

휜 각도와 방향에 따른
1:1 맞춤 회전교정

휜다리 원인

휜 다리의 원인은 선천적 요인보다 후천척인 요인의 영향이 큽니다.
신생아의 경우 태어나면서부터 내반슬 상태에 있으며, 성장하면서 5세 이후에는 이러한 증상이 점차 사라지게 됩니다.

선천적요인

  • 유전적 요인
  • 태아 시기의 웅크린 자세

당당 체형 분류법

  • 턱관절 불균형
  • 하이힐을 주로 신는 경우
  • 다리를 꼬는 습관
  • 출산 후 잘못된 산후조리
  • 잘못된 운전 자세
  • 장시간 양반다리로 앉아있을 경우
  • 엎드려있는 시간이 많거나 엎드려 잠을 자는 습관
  • 양발을 모아서 옆으로 비틀어지게 앉는 경우

휜다리는 평소
어떤 자세로
생활하는지
에 따라
크게 영향을 받게 됩니다.

서양인들은 대부분 엑스다리인데 반해
한국과 일본인들은 대부분 좌식생활을 하고 양반다리 자세를 많이 해왔기 때문에
오다리 변형이 대부분입니다.

바닥에 앉을 때 고관절, 무릎관절이 접혀서 관절주변의 인대가 늘어난 상태로
체중이 가해지면 고관절이 회전하여
휜다리 변형이 유발
됩니다.

휜다리 증상

골격

골격의 틀어짐으로
체형의 변화

골반

골반이 틀어지며,
고관절이 튀어나옴

엉덩이

엉덩이가 처지며,
허벅지 군살 발생

척추

척추가
옆으로 틀어짐

무릎

무릎 관절 안팎으로
휘거나 틀어짐

아킬레스건

아킬레스건 휘어져
통증 발생

X다리 일 때,
평발인 경우가 많음

당당 휜다리 치료법

휜다리는 발과 다리의 교정뿐 만아니라 골반과 척추의 밸런스를 맞춰야하는데 이때 가장 필요한 것이 족부 교정입니다.

발과 발목의 변형을 교정할 필요가 없는 휜다리는 흔치 않으며 발을 교정해야 교정후 재발 걱정이 없습니다.

01

원인치료

족부와 골반의 밸런스 치료
턱관절 – 척추 - 골반 밸런스 치료
생활 습관 교정치료(DSM 치료)
02

교정치료

추나요법
고관절의 회전과 골반변형을 교정하고
발목변형과 발뼈의 정렬을 바로 잡아
무릎교정에 도움
도수치료
무릎의 회전을 촉진하는 대퇴근막장근과
전경골근의 긴장을 풀고 골반을 안정화시키는
근육을 강화
족부교정
맞춤형 깔창을 통해 평발과 요족 등
발의 변형을 바로 잡아
하지의 회전을 최소화
보행교정
보행패턴을 분석하여 보폭,
팔자 안짱걸음을 교정하고
3단계 보행을 숙지
03

강화치료

근력측정장비를 통해 144개 휜다리 패턴에 따른 약한 근육 고리를 과학적으로 분석 후 강화 운동을 시행합니다.

체중심(복부/골반)강화치료
슬링을 이용한 하지 근육 협력운동
무너진 아치 바로잡기
휜 발목 바로잡기
회전된 무릎 바로잡기
회전되고 틀어진 골반 바로잡기

이제는 하세요!

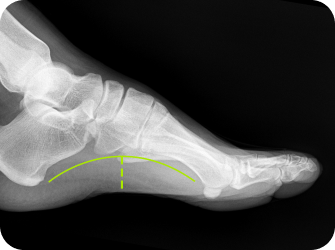
휜다리 검사 프로세스

원장님 상담
엑스레이 검사
모아레 근육 균형 검사
동적족저압 검사
스텝랩 보행검사
하지 근력 검사
체성분 검사
좌우 골반 수평 및 비틀림 측정
좌우 다리 길이와 틀어짐 측정
엉덩이 관절의 염전각 측정
경골의 회전과 내반 측정
족궁 높이 측정
발 뒤꿈치 각도 검사
휜다리, 더 이상 고민하지 마세요.
144가지 패턴분석을 통해 대퇴골과 정강이뼈의 회전까지 고려한 비수술 맞춤 교정으로 일상 행복을 되찾아 드립니다.
다시 생각해도 OX다리 교정
연산당당한방병원입니다.
Q&A

모든 궁금증,
연산당당이 풀어드립니다.

성인도 휜다리를 교정할 수 있나요?
성인도 휜다리 교정 가능합니다. 어린이와 달리 성장은 멈췄지만, 추나요법, 도수치료, 약침 등을 통해 정렬을 개선하고 증상을 완화할 수 있습니다. 비수술적인 한의학 치료는 휘어진 다리를 둘러싼 근육과 인대를 강화하고 신체 균형을 회복하는 데 효과적입니다. 다만, 주관절의 변형이 심한 경우에는 교정이 더디거나 한계가 있을 수 있으니, 전문의 상담을 통해 교정 범위를 평가하는 것이 중요합니다. 꾸준한 운동과 치료 병행으로 좋은 결과를 기대할 수 있습니다.
휜다리로 인해 현재 통증이 없는데 왜 교정이 필요한가요?
휜다리는 현재 통증이 없다 하더라도, 장기적으로 관절과 신체 전반에 다양한 문제를 초래할 가능성이 있습니다. 예를 들어, O다리(내반슬)는 무릎 안쪽 관절에, X다리(외반슬)는 무릎 바깥쪽 관절에 비정상적인 하중을 가해 연골 마모를 촉진하고 관절염 발생 위험을 높일 수 있습니다. 이러한 다리 정렬 불균형은 골반 틀어짐, 척추 정렬 이상 등을 유발하며, 허리 통증, 보행 곤란, 피로 누적 등으로 이어질 위험이 있습니다. 시간이 지나면서 관절과 인대 사용에 따른 손상이 누적되고, 만성 통증으로 드러날 가능성도 크기 때문에 조기 교정을 통한 예방적 관리가 필요합니다.
휜다리는 치료시 교정치료를 하는 경우과 수술을 하는 경우는 어떻게 다른가요?
휜다리 초기 단계나 변형이 심하지 않은 경우(연골 손상이 없는) 수술 없이도 교정이 가능합니다. 추나요법, 도수치료, 약침 치료, 교정 운동 등을 통해 관절 정렬을 바로잡고, 근육 강화 및 스트레칭으로 체형을 개선할 수 있습니다. 특히 성장기나 젊은 성인 여성처럼 뼈와 관절이 부드러운 경우에는 비수술적 치료의 효과가 높습니다.
하지만 변형이 심하거나 통증이 지속되는 경우, 또는 관절염, 연골 손상이 동반된 경우에는 수술이 필요할 수 있습니다. 수술 여부는 X-ray로 측정된 변형 각도, 통증 및 증상, 생활의 질 등에 따라 결정됩니다. 따라서, 휜다리 교정을 고민 중이라면 전문의와 상담을 통해 비수술적 치료와 수술의 필요성을 정확히 판단하고 적절한 치료 계획을 세우는 것이 중요합니다.

연산당당한방병원
Before & After

해당 사진은 수정없는 실제 치료사진입니다.
환자의 치료결과는 환자의 상태, 치료방법 등에 따라 차이가 발생할 수 있습니다.

찾아오시는 길

부산광역시 연제구 월드컵대로 82, 1~8층

건물 주차장 무료 이용 가능합니다.

지하철 이용 시

1호선3호선 연산역 6번 출구에서 도보 460m

버스 이용 시

51번, 189번
  • 반도보라아파트
    하차 후 약 240m 거리 (물만골 방향)
  • 연산초등학교
    하차 후 약 200m 거리 (연산역 방향)

내원 전 간편하게 예약하세요!

홈페이지 내에 있는 모든 사진, 이미지, 디자인, 페이지에 대한 저작권 등의 권리는 연산당당한방병원에게 있습니다.
따라서 연산당당한방병원의 허락 없이 표절, 무단도용, 재편집을 금지합니다.

빠른상담

상담 신청을 위한 정보를 남겨주시면
보다 빠른 상담이 가능합니다.

로그인 후 이용해주세요.