051-861-7575

전체메뉴

연산당당한방병원은
언제나 여러분들
곁에 있습니다.
  • 상호명 : 연산당당한방병원
  • 대표자 : 성진욱
  • 사업자등록번호 : 154-59-00644
  • 주소 : 부산광역시 연제구 월드컵대로 82, 1~8층

교통사고 보험치료

교통사고 후유증,
왜 처음부터 당당일까요?

어디에서도 볼 수 없는
교통사고 후유증 치료방법

교통사고 후유증,
초기 치료뿐 아니라 진단이 핵심입니다.

교통사고 이후에
후유증으로 고생하는 대부분의 경우가
초기 진단에 실패한 경우입니다.

사고 후 본인이 원래 있던
협착증 디스크 증상이 더 심해지기도 하고 어지럼증이 몇 달간 지속되기도 합니다.

처음부터 진단이 가능한
병원 선택이 중요합니다.

엑스레이 검사 상 문제가 없어도 지속적으로
아플 수 있습니다.

골절이 아니더라도 사고 후
인대가 늘어나서 불안정해지거나
근막 또는 연조직의 손상은 엑스레이 검사 정도의 장비로 전혀 확인되지 않습니다.

그래서 큰 병이 아닐 것 같은
교통사고 후유증이지만
더더욱 전문가진단장비
제대로 있는 병원 선택이 중요합니다.

연산당당한방병원을 선택하는 이유!

교통사고 후유증은
여러 가지 변수가 있습니다.

  • 사고 초기 골절이나 염좌 등으로 깁스가 필요하거나
    급히 수술 여부를 판단할 경우
  • 통증이 심해 신경차단술을 시행할 경우
정형외과 전문의
  • 사고 후 며칠간 후교감신경의 항진으로 인한 두통, 어지럼증, 구역감, 소화불량 등의 증상이 있는 경우
내과 전문의

한의사가 주치의인 한방병원, 교통사고 후유증의 여러 변수를 고려할 때

정형외과 × 내과 전문의 × 한의사가 함께 진료하는 병원이라면
문제 발생 시 신속히 대응할 수 있습니다.

당당만의 특별한
4 POINT 치료법
Point 01.

정확한 부위에 치료!

초음파 검사를 통해서 손상받은 연부조직을 정확히 파악하고 한방약침을 시술해 연부조직의 빠른 회복을 돕습니다.

Point 02.

검사를 통한 객관적인 치료!

엑스레이 검사, CT, MRI 검사를 통해 틀어진 뼈와 관절을 정확히 파악하여 추나요법을 시술해 통증 회복과 관절의 가동 범위 회복을 돕습니다.

Point 03.

의학 + 한의학 검사를 한 곳에서!

의학 검사와 한의학 검사를 통해서 보다 꼼꼼하게 진단해 교통사고 후유증을 남기지 않습니다.

Point 04.

치료+휴식을 한 번에! 입원 치료!

연산당당한방병원은 단독으로 건물을 사용하기 때문에 환자 이외의 다른 사람과 엘리베이터나 내부공간을 공유하지 않으며, 신체적 치료를 넘어 정신적 휴식까지 할 수 있는 입원실 환경을 조성하였습니다.

사고 이전의 몸 상태보다 더 좋은 컨디션으로 퇴원하는 것이 입원 치료의 목적입니다.

교통사고 후유증 치료,
사고 이전의 몸 상태로 회복될 때까지
꾸준히 치료받는 것도 필수!

전담 상담사
간단하게 진료 접수, 접수 시 자동차 보험 담당자 연락처를 알려주시면 진료비 지불 보증서부터 치료 비용 청구까지 병원에서 처리합니다.
역세권
연산역에서 5분 거리, 물만골역에서 5분 거리
지하철역에 가까이 있어서
치료받으러 오기 편안합니다.
주차 100대
지상 주차장 + SUV 입고 가능한
타워 주차장 (총 100대 가능)
자체 주차장을 운영하여
입 · 출차 대기가 없습니다.
365일 치료
평일 야간 20시30분까지 진료
주말, 공휴일에도 365일 진료 가능합니다.
일반적으로 사람들이 많이 타는 차는 중형차이며, 중형차의 무게는 약 1.5톤입니다.

1.5톤 무게의 차량이 시속 50km로 달리다 부딪히게 된다면,
타고 있던 사람에게 얼마나 큰 충격이 가해질까요?

가벼운 사고 일지라도
기존의 본인이 가지고 있는
근골격계의 문제가 더 악화될 수도 있기에
교통사고 후유증을
꼼꼼히 검사해야 하는 이유입니다.

양한방협진으로 꼼꼼하게!
교통사고 후유증 치료 검사

의학 X 한의학 협진 검사를 통해서
사고로 내 몸 어디가 다쳤는지
눈에 보이는 손상과
눈에 보이지 않는 손상까지
검사 가능합니다.

검사 장비는 엑스레이 검사뿐인
병원에서 진료를?

교통사고 시 엑스레이 검사를 통한 검진으로 알아낼 수 있는 건 골절뿐입니다.

초음파, CT, MRI, 뇌파검사, 자율신경계 검사,
모아레 근육 균형 검사, 보행분석검사 등
교통사고로 인한 연부 조직과
뇌, 신경계 손상까지 확인할 수 있어야
후유증을 제대로 치료합니다.

  1. 뇌진탕이나 척추나 늑골의 미세골절은 초기에
    CT 가 아니면 찾기 어려움
  2. 골절이 아니라도 인대 손상은 매우 흔하기에
    초음파 검사가 반드시 필요
  3. 교통사고로 인한 외상 후 스트레스 증후군
    진단하기 위해 뇌파 검사 필요
Traffic Accident

교통사고 후유증 검사 및 치료

허리디스크 / 일자목 환자의
교통사고 후유증 치료
일반 교통사고와
똑같이 치료하면 안됩니다!

연산당당한방병원
교통사고 후유증 검사

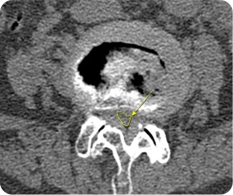
01

교통사고 후유증 검사 1

엑스레이 검사
골절, 탈구, 인대 손상 등 확인
CT *
골절 및 변형의 정확한 양상을 입체적으로 파악 및 골절 이후 뼈의 유합된 정도를 판단
초음파검사
근육, 인대, 힘줄 등 연부조직의 손상 확인
MRI 검사
뼈, 근육, 인대, 힘줄, 연골 등 몸을 구성하는 근골격계의 대부분의 손상 확인 (연계 진료)
스트레스 검사
교통사고 후 생길 수 있는 외상 후 스트레스 증후군 및 불안장애, 공황장애 등의 진단
CT *
  1. 골절 및 변형의 정확한 양상을 입체적으로 파악
  2. 골절 이후 뼈의 유합된 정도를 판단
  3. 뼈의 여러 방향에서 절단면을 얻을 수 있어서 미세 골절 및 뼈가 겹쳐있는 부위의 골절을 진단
  4. 디스크나 협착증 환자의 경우 사고로 인해 악화된 경우 CT로 확인
  5. 사고의 충격으로 인한 뇌진탕 여부를 확인
02

교통사고 후유증 검사 2

경락기능검사
사고 충격으로 인한 자율신경계 이상 및 이로 인한 스트레스 정도를 측정하는 검사
적외선 체열검사
엑스레이 검사나 CT로 확인할 수 없는 신경 손상 및 순환계 문제, 근육 통증의 문제를 객관적으로 측정
03

양방치료

엑스레이 검사, 초음파, CT
운동치료
체외충격파
신장분사 (냉각치료)
관절 CPM 치료
04

한방치료

입원 집중치료
침구치료
한약치료
추나치료
뜸 치료
재활치료
물리치료
부항치료
05

당당한방병원의 다양한 치료 프로그램

연산당당한방병원
교통사고 후유증 치료

질환에 따라서, 체형에 따라서 개인에게 맞는 맞춤 교통사고 후유증 치료가 필요합니다.
개인 면담을 통해, 또는 의학 X 한의학 검사를 통해 확인 가능한 질환과 체형의 문제를 파악하여 치료의 방향을 제시합니다.

01

질환에 따른 교통사고 후유증 치료

척추 관절 질환이 있다면 교통사고 후유증은 더 커질 수 있습니다.

▲ 허리디스크 환자의 MRI

▲ 척추관협착증 환자의 CT

척추 사이 디스크 손상

사고로 인한 충격
그대로 흡수

교통사고 발생

주변의 연부조직 손상
및 신경압박

교통사고 후유증 발생

평소 척추 관절질환이 있는 사람이라면
교통사고의 충격은 일반 사람들에 비해
더 크게 발생하며 해당 질환이
더욱 악화가 될 수 있습니다.

그래서 연산당당한방병원에서는
허리디스크, 목 디스크, 협착증 환자를
정형외과 전문의와 한방재활의학과 전문의가 검사부터 치료까지 각별히 신경 써서
치료하고 있습니다.

02

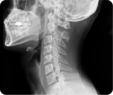
체형에 따른 교통사고 후유증 치료

같은 사고 일지라도 체형이 틀어진 사람이라면 더 많은 충격을 받게 됩니다.

정상목 5kg

목뼈가 받는
하중

일자목 22.2kg
약 4.5배

일자목을 가진 사람이 받는 하중은
정상목의 약 4.5배이기 때문에
교통사고 시 발생하는 충격도
더 크게 발생하게 됩니다.
그래서 일자목인 환자의 교통사고 후유증 치료는
그 방법과 치료 기간이 다를 수밖에 없습니다.

연산당당한방병원은 척추관절을 교정하여
통증을 근본치료 해온 노하우를 담아
엑스레이 검사와 CT, MRI와 같은
영상의학적인 검사를 통해
교통사고 후유증 환자의 체형까지 고려하여
치료가 진행됩니다.

통증 치료의
노하우가 있는 병원
인가?

교통사고 후유증으로 나타나는 통증,
20년 임상치료의 노하우를 담은
당당만의 통증방정식 치료로 해결합니다.

교통사고로 인해서 목, 허리, 어깨, 골반 등의 통증이 나타나기도 하고 팔, 다리가 저린 증상이 나타나기도 합니다.

연산당당한방병원은 20년 임상치료 노하우를 담아 아픈 곳에만 집중하는 치료가 아닌 통증 부위와 통증 원인 부위를 찾는 통증 방정식을 교통사고 후유증 치료에 적용하여 치료하고 있습니다.

사고 후 통증에
단계별 방정식의 난이도를 적용하여
다양한 형태로 나타나는 통증 유형에 대응 할 수 있습니다.

통증 부위나 병명이 같다고
치료까지 똑같지 않습니다.

당당 통증 방정식

  • 1차 방정식
  • 2차 방정식
  • 3차 방정식
  • 4차 방정식
  • 5차 방정식
DangDang
Pain Equation
1차 방정식
통증의 원인과 통증 부위가
같은 곳에 있을 때
2차 방정식
통증의 원인과 통증 부위가
다른 곳에 있을 때
3차 방정식
통증의 원인과 통증 부위가
더 멀리 떨어져 있을 때
4차 방정식
체형불균형으로 인해
통증이 나타났을 때
5차 방정식
심리적, 정서적인 문제로
통증이 나타났을 때

교통사고 후 발생하는 어지럼증,
혹시 뇌진탕일까? 아니면 다른 문제일까?

검사부터 치료까지
모든 과정을
양한방 협진으로 진행합니다!

교통사고 후 어지럼증과 메스꺼움, 두통 등의
뇌신경계와 위장증상을 호소하시는
환자분들이 많습니다.
연산당당한방병원에서는
이러한 증상의 원인을 찾아 치료하기 위해
양한방 협진으로 검사와 치료를 진행합니다.

뇌진탕
검사 CT / 엑스레이 검사
치료 한약처방
머리 부분의 충격으로 인하여 발생되는 뇌진탕을 진단하기 위해서는 반드시 CT나 엑스레이 검사 검사가 선행되어야 하며, 검사 후 뇌신경을 안정시켜주고 뇌의 붓기를 빼주는 한약을 처방하고 양한방 협진을 통하여 뇌기능을 개선하는 세라빈씨주 치료를 진행합니다.
바레리우 증후군
검사 CT / 엑스레이 검사
치료 경력면역약침
신경학적 검사 및 환자 히스토리 상 뇌진탕의 가능성이 적다면, 바레리우 증후군(후 경부 교감신경 증후군)으로 인한 신경학적 증상일 수 있으므로, 사고로 인한 체성 신경과 교감신경의 빠른 회복을 돕는 경락면역약침을 시술합니다.
대뇌 불균형
검사 좌뇌, 우뇌 기능검사
치료 침, 추나치료 병행
만약 신경학적 증상이 정확히 확인되기 힘든 경우라면 기능신경학을 접목하여 좌뇌와 우뇌의 기능 검사를 시행하여 대뇌 불균형 (hemisphericity)을 찾아내어 어지럼증의 원인을 파악합니다.
검사 결과를 토대로 뇌를 활성화 시키는 혈자리에 침을 시술하고 추나치료를 병행하여 증상 완화에 도움을 줍니다.

사고 후 일상으로의
회복을 위한 치료
도인운동요법

교통사고 후유증 치료의 핵심은
사고 이전의 몸 상태로 회복하는 것.
사고의 충격으로 관절이나 뼈, 근육, 근막, 인대 등이 손상을 받으면 움직일 때마다 통증이 발생하고 움직임 제한이 생깁니다.

연산당당한방병원에서는 한방고유의 재활치료인 도인운동요법을 통해 관절의 정상가동범위(ROM)을 정상화하여 사고 이전의 상태로 회복할 수 있도록 합니다.

오직 당신만을 위한 약 처방

체질에 맞는 한약
소음인, 소양인, 태음인, 태양인
체질에 맞는 한약
증상에 맞는 한약
어혈을 풀거나, 과긴장 근육을 이완하는 한약, 과도하게 이완된 근육 강화, 근골격계 통증 완화, 신경과민 완화 한약 등 증상에 맞는 한약
원내 탕전 시스템
까다로운 식약처 인증받은 한약재로
한의사가 처방하고 한약사가 달이는
원내 탕전 시스템

어린이, 임산부, 노약자를 위한
교통사고 후유증 치료

01

방사선 걱정 없는 검사

  • 경락기능검사

    교통사고로 인한 스트레스와 혈액순환 상태를 체크

  • 적외선 체열검사

    통증, 염증, 신경 손상 부위의 미세한 체열 변화를 감지

  • 초음파검사

    손상받은 연부조직의 위치를 파악

02

부드러운 치료기법 적용

  • 어린이용 분구침

    순간적으로 혈자리를 자극하는 방법으로 통증이 거의 없음

  • 경근추나요법

    연부조직을 스르르 이완하는 부드러운 추나요법

  • 뜸, 부항

    체내 온도를 올려 혈액순환을 돕고 어혈 배출에 도움

  • 한약

    식약처의 기준을 통과한 한약재로 한의사가 처방하고 한약사가 조제

남다른 병실 라이프

연산당당한방병원의 입원실은 치료 기능에 힐링 개념을 더하여 육체적으로, 정신적으로 재충전할 수 있도록 설계 되었습니다. 사고 이전보다 더 나은 컨디션으로 퇴원하는 것이 연산당당한방병원 교통사고 후유증 치료의 목표입니다.

입원 병동
입원 병동
입원 병동
입원 병동
입원 병동
입원 병동
입원 병동
입원 병동
1인실
1인실
1인실
1인실
1인실
1인실
2인실
2인실
2인실
2인실
2인실
2인실
4인실
4인실
4인실
4인실
4인실
4인실
휴게공간
휴게공간
휴게공간
휴게공간
힐링파크
힐링파크
힐링파크
힐링파크
힐링파크
힐링파크
라운지
라운지
라운지
라운지
북카페
북카페
북카페
입원 생활에 감성을 더하는 분위기
호텔급 라운지
실내 정원과 어우러지는 라운지
힐링 파크
가벼운 산책이 가능한 야외 공간
미디어 테이블
태블릿 PC와 TV, 이어폰이 연결되는 테이블
공기 청정기 및 환기 시스템
천장 매립형 삼성 공기 청정기 및
환기 시스템 24시간 가동
무풍 에어컨
바람소리 없이 편안한 수면이 가능
1인용 냉장고 및 대형 냉장고
프라이버시 보장을 위한
1인용 냉장고 및 대형 냉장고
안정감을 위한 조명 설계
정서적인 안정감을 줄 수 있는 은은한 조명
1인실, 2인실, 4인실
프라이빗한 1인실부터
법적 병상 간격 1.5미터보다 넓은 4인실까지

CT, 엑스레이 검사, 초음파 같은 영상진단 장비를 보유하고 있어
정밀 진단 후 한의사 X 의사 협진으로 교통사고 후유증을 치료합니다.

검사부터 치료까지 양한방 협진으로 환자분들의 몸을 세밀하게 확인하고 꼼꼼하게 치료합니다.

평일 야간진료

365일 입원진료

척추관절 치료를 잘하는 병원이. 초기진단이 중요한 교통사고 후유증도 잘 봅니다.
정형외과와 한방재활과의 협진을 통한 체계적인 치료 시스템으로 건강한 일상 회복을 도와드리겠습니다.
다시 생각해도 교통사고 후유증 치료
연산당당한방병원입니다.
Q&A

모든 궁금증,
연산당당이 풀어드립니다.

교통사고 경상환자인데 4주이상 치료는 안되나요?
아니요. 치료 가능합니다. 자동차 보험 지침에서는 경상환자가 4주 이상 진료를 받을 경우 진단서를 의무화하고 있습니다. 이는 4주 동안만 치료가 가능한 것이 아니라, 필요시 진단서를 통해 4주 이상의 추가 치료가 가능하다는 뜻입니다. 평소 건강하던 분은 4주 치료로 회복할 수 있지만, 디스크나 협착증과 같은 척추 질환이 있는 경우에는 증상이 4주이상 지속될 수 있습니다. 그렇기 때문에 교통사고 후 후유증이 남았다면담당 의사와 충분히 상담하시고 치료받으실 수 있습니다.
교통사고로 인해서 허리디스크가 생길수도 있나요?
교통사고는 허리디스크의 원인이 될 수 있습니다. 사고 시 발생하는 강한 충격은 척추에 큰 부담을 주며, 이로 인해 디스크가 손상되거나 탈출할 수 있습니다. 사고 후 신체의 자세 변화로 인해 척추에 가해지는 압력이 증가하면서 기존의 허리 질환이 악화될 위험도 있습니다. 또한, 외상으로 인해 근육과 인대가 손상되면 척추가 불안정해져 디스크 문제가 발생할 수 있습니다. 따라서 교통사고 후 허리 통증이나 불편함이 느껴진다면, 반드시 전문가의 진단과 치료를 받는 것이 중요하며, 이를 통해 후유증을 예방할 수 있습니다.
교통사고 후 며칠 지나서 아픈 이유는 뭔가요?
교통사고 후 통증이 며칠 지나서 발생하는 이유는 스테로이드 호르몬인 코르티솔의 분비 증가 때문입니다. 사고 직후 1~2일 차에는 코르티솔 수치가 높아져 통증을 억제하지만, 3일 차 이후부터는 코르티솔의 효과가 줄어들어 통증이 심해지기 시작합니다. 또한, 영상의학적 검사에서 가벼운 경상으로 진단받더라도 채찍질 증후군이나 경추의 후교감신경 항진 등으로 인해 지속적인 통증이 나타날 수 있습니다. 따라서 초기부터 꾸준한 치료를 받고 경과를 관찰하는 것이 중요하다.

찾아오시는 길

부산광역시 연제구 월드컵대로 82, 1~8층

건물 주차장 무료 이용 가능합니다.

지하철 이용 시

1호선3호선 연산역 6번 출구에서 도보 460m

버스 이용 시

51번, 189번
  • 반도보라아파트
    하차 후 약 240m 거리 (물만골 방향)
  • 연산초등학교
    하차 후 약 200m 거리 (연산역 방향)

내원 전 간편하게 예약하세요!

홈페이지 내에 있는 모든 사진, 이미지, 디자인, 페이지에 대한 저작권 등의 권리는 연산당당한방병원에게 있습니다.
따라서 연산당당한방병원의 허락 없이 표절, 무단도용, 재편집을 금지합니다.

빠른상담

상담 신청을 위한 정보를 남겨주시면
보다 빠른 상담이 가능합니다.

로그인 후 이용해주세요.