부산발바닥통증 봄철 심해지는 이유가 따로 있었다? (족저근막염, 무지외반증, 지간신경종, 부주상골증후군, 평발)
본문
![]()
따뜻한 봄기운이 가득해지면서 겨울 내내 움츠렸던 몸을 활기차게 펴고 싶은 시기가 왔습니다.
두툼한 겨울옷을 벗고 가벼운 차림으로 근처 공원을 거닐거나, 오랜만에 산길을 오르는 분들이 많아지는 계절이죠.
그러나 이러한 설레는 봄날의 즐거운 활동 이후에 찾아오는 불청객이 있습니다.
바로 발.바.닥.통.증
![]()
최근 진료실에 오시는 환자분들의 이야기를 들어보면
"아침에 일어나면 발바닥이 욱신거려요"
"걸음을 걸을 때마다 발바닥에 찌릿한 통증이 와요"
라고 호소하시는 분들이 눈에 띄게 증가했습니다.
왜 하필 봄에 이런 증상들이 악화될까요?
겨울 동안 상대적으로 적었던 활동량이 갑작스럽게 늘어나면서 발에 무리가 가게 됩니다.
또한 두꺼운 겨울 신발에서 얇고 가벼운 봄 신발로 전환하는 시기라 발의 지지력이 감소하는 것도 주요 원인입니다.
오늘은 봄철 부산발바닥통증 유발하는 주요 질환들과, 특히 아침에 일어났을 때 왜 통증이 심해지는지 함께 알아보겠습니다.
![]()
밤새 수면 중에는 발이 발끝으로 처진 자세(족저굴곡)를 유지하게 되며, 혈액과 체액의 순환이 감소하면서 근육과 관절이 뻣뻣해집니다.
발 부위에 염증이 있는 경우, 휴식 상태에서 자가 회복 작용이 활발해지면서 부종이나 압박감이 발생하고 염증 부위의 민감도가 높아집니다.
이로 인해 아침에 통증이 더욱 심하게 느껴질 수 있습니다.
![]()
아침에 딛는 첫 발걸음이 불편하다면 가장 먼저 족저근막염 의심
주요 증상: 발뒤꿈치에서 시작해 발바닥 앞쪽으로 뻗어나가는 예리한 통증
호발 연령: 40-60대, 특히 체중이 많이 나가거나 오래 서 있는 직업을 가진 사람들
통증 패턴: 아침 첫 걸음이나 장시간 앉았다가 일어날 때 가장 심함
유발 요인: 과도한 달리기, 적합하지 않은 신발, 발 아치 구조 이상(평발/고아치발)
진단 방법: 임상 증상 확인 및 발뒤꿈치 내측 압통점 검사, 필요시 초음파나 MRI 활용
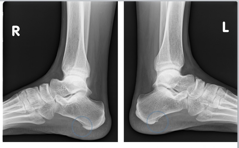
부산족저근막염 은 발바닥 뒤꿈치에서 발가락으로 연결되는 두꺼운 띠 모양의 조직인 족저근막에 염증이 생기는 질환입니다.
특히 아침에 첫 발을 디딜 때 날카롭게 발뒤꿈치에서 발바닥 앞쪽으로 쏘는 듯한 통증이 있다면 이 질환을 우선적으로 의심해볼 필요가 있습니다.
밤 동안 족저근막은 수축된 상태로 유지됩니다.
마치 오랫동안 사용하지 않았던 고무줄을 갑자기 당기면 끊어질 수 있는 것처럼, 아침에 갑자기 체중을 실어 발을 딛게 되면 수축되었던 근막이 급격히 늘어나면서 통증이 발생합니다.

꽉 조이는 신발의 대가, 지간신경종
주요 증상: 3-4번째 발가락 사이 신경의 비대 및 염증
호발 연령: 30-50대, 여성에게서 더 흔하게 발생
통증 패턴: 발가락 사이 타는 듯한 통증, 저림, 감각 이상
유발 요인: 앞이 좁은 신발, 하이힐, 발의 과도한 안쪽 굴림(회내)
진단 방법: 중족골 압박 시 통증 유발, 초음파나 MRI 검사로 확인
지간신경종은 주로 3-4번째 발가락 사이의 신경이 두꺼워지고 압박을 받아 발생하는 질환입니다.
봄철에 갑자기 하이힐이나 앞부분이 좁은 신발을 신기 시작하면서 중족골 사이 신경이 압박되어 증상이 악화될 수 있습니다.
발바닥 앞쪽에 저림과 통증이 주로 나타나며, 흔히 "발바닥에 자갈이 있는 느낌"이나 "전기가 흐르는 듯한 통증"으로 표현됩니다.

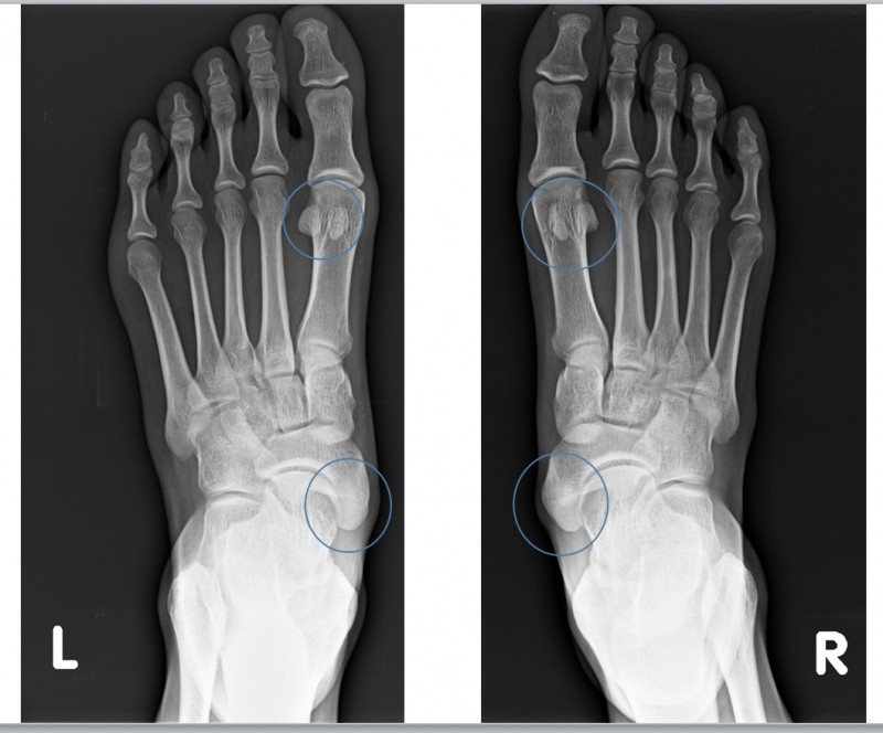
아름다움을 위한 발의 희생, 무지외반증
주요 증상: 엄지발가락이 둘째 발가락 쪽으로 기울고 첫 번째 중족골 머리가 돌출됨
호발 연령: 주로 중년 여성, 가족력이 있는 경우 더 흔함
통증 패턴: 튀어나온 관절 부위 통증, 신발과 마찰로 인한 굳은살, 염증
유발 요인: 유전적 소인, 좁은 신발 착용, 관절염, 편평족
진단 방법: 육안으로도 확인 가능, X-ray로 변형 정도 측정
부산무지외반증 은 엄지발가락이 바깥쪽으로 휘어지면서 발 안쪽에 돌출부가 생기는 질환으로, 심한 경우 관절염으로 진행될 수 있으며 특히 여성에게 많이 발생합니다.
유전적 요인도 있지만, 좁고 앞이 뾰족한 신발을 오랫동안 신거나 발에 맞지 않는 신발 착용이 주요 원인입니다.
아침에 통증이 심해지는 이유는 수면 중 발의 자세가 변화하면서 변형된 관절에 압력이 가해지기 때문입니다.
또한 밤새 약간의 부종이 생긴 상태에서 아침에 갑자기 체중을 실으면 변형된 관절 부위에 통증이 더욱 심해집니다.
![]()
숨은 통증의 원인, 부주상골 증후군
주요 증상: 발의 내측 아치 부분(주상골 근처)에 여분의 작은 뼈가 존재
호발 연령: 주로 청소년기에 증상이 나타남, 여성에게 더 흔함
통증 패턴: 발의 내측 중앙 부위 통증, 특히 활동 후 심화
유발 요인: 외상, 과사용, 꽉 끼는 신발, 평발과 연관된 경우가 많음
진단 방법: X-ray나 CT로 추가적인 뼈 확인, 발의 내측 돌출과 압통
부산부주상골증후군 은 발의 안쪽 아치 부분에 위치하는 작은 추가 뼈로, 사람에 따라 뼈가 있기도 하고 없기도 합니다.
이 뼈가 있는 경우 주변 인대나 건에 염증을 일으켜 증후군이 발생할 수 있습니다.
아침에 통증이 심한 이유는 밤새 휴식 상태였던 발이 갑자기 체중을 받으면서 부주상골 주변 조직에 압력이 가해지기 때문입니다.
특히 발의 안쪽 아치 부분에서 통증을 느끼게 됩니다.

아치의 무너짐이 가져오는 평발
주요 증상: 발의 내측 아치가 낮거나 완전히 없어 발바닥 전체가 지면에 접촉
호발 연령: 선천적 또는 후천적으로 발생, 모든 연령층에서 가능
통증 패턴: 발의 내측, 아킬레스건, 발목, 심지어 무릎까지 통증이 확산될 수 있음
유발 요인: 유전적 요인, 임신, 노화, 비만, 당뇨, 류마티스 관절염
진단 방법: 발자국 검사(족문 검사), 발의 정렬 관찰, X-ray로 뼈 구조 확인
부산평발 은 발의 아치가 낮거나 완전히 사라져 발바닥 전체가 지면에 닿는 상태를 말합니다.
정상적인 발은 체중을 효과적으로 분산시키는 아치 구조가 있지만, 평발은 이러한 충격 흡수 기능이 저하됩니다.
아침에 통증이 심한 이유는 밤새 휴식으로 발의 구조가 일시적으로 안정되었다가, 아침에 다시 체중이 실리면서 발의 인대와 근육에 갑작스러운 부담이 가해지기 때문입니다.
특히 내측 종아치를 지지하는 후경골근의 피로와 염증이 아침 통증의 원인이 됩니다.
![]()
봄철 발바닥 통증 유발 질환들의 특징을 살펴보면 높은 굽의 신발이나 편안함이 부족한 깔창 형태의 신발이 주요 원인일 가능성이 높습니다.
신발 선택뿐만 아니라 발을 지지해주는 깔창도 중요한 역할을 합니다.
이러한 발 질환들에 맞춤형 깔창은 어떻게 도움이 될까요?
![]()
![]()
족저근막염: 뒤꿈치 부분에 쿠션을 제공하고 아치를 지지하여 족저근막의 과도한 스트레칭을 방지합니다. 특히 아침 첫 발걸음의 충격을 줄여주는 효과가 있습니다.
지간신경종: 중족골 패드가 있는 깔창은 발가락 사이의 압력을 분산시켜 신경 압박을 감소시킵니다.
무지외반증: 엄지발가락 부분에 여유 공간을 제공하고 발의 정렬을 개선하는 맞춤형 깔창은 관절 압박을 완화해줍니다.
부주상골 증후군: 내측 아치 지지대가 있는 깔창은 부주상골 주변의 압력을 경감하고 발의 안정성을 향상시킵니다.
평발: 아치 지지대가 있는 깔창은 약해진 아치를 받쳐주고 체중 분산을 개선하여 통증을 줄여줍니다.
![]()
맞춤형 깔창은 단순히 통증을 완화하는 것 이상으로, 발의 비정상적 정렬을 교정하고 보행 패턴을 개선하는 데도 기여합니다.
발 뒤꿈치와 발바닥에 가해지는 충격을 흡수하고 체중이 특정 부위에 집중되지 않도록 분산시키는 역할을 합니다.
특히 평발이나 요족과 같은 구조적 문제가 있는 사람들에게 체중 분배를 개선하여 통증 감소에 효과적입니다.
아침 통증이 심한 분들은 침대 옆에 깔창이 들어간 슬리퍼를 미리 준비해두어 첫 발걸음부터 발을 보호하는 것이 좋습니다.
![]()
봄의 상쾌한 활동을 통증 없이 즐기기 위해, 발에 맞는 신발 선택과 함께 필요하다면 의료인 상담을 통한 맞춤형 깔창 처방을 고려해보세요.
건강한 발로 즐겁고 활기찬 봄을 맞이하시길 바랍니다!
- 이전글연산동 한약으로 허리디스크도 치료가 가능한가요? 25.04.03
- 다음글연산동다이어트 봄이 오니 생각나는 계절, 한방으로 건강하게 시작해볼까요? 25.04.03
댓글목록
등록된 댓글이 없습니다.