부산 오다리 엑스다리 교정 방법 완벽 가이드
본문
![]()
![]()
안녕하세요. 성진욱 한의사입니다.
제가 진료를 보는 오다리, 엑스다리 교정 병원에서는 도수치료나 침 진료 시 반팔과 반바지를 착용하게 됩니다.
당연히 긴바지를 입으면 치료하는데 불편하기 때문이죠.
그런데 오다리나 엑스다리를 가진 분들은 본인의 옷을 별도로 챙겨오시는 경우가 많습니다.
왜 그럴까요?
![]()
당연히 본인의 오다리, 엑스다리가 콤플렉스라 생각이들기 때문입니다.
어떻게 아냐구요?
사실 이건 비밀인데 저도 약간 오다리가 있습니다.
이건 진짜 여러분과 저만 아는 비밀입니다...
![]()
![]()
오다리나 엑스다리는 심미적인 부분에서도 환자 본인에게 큰 스트레스로 다가오지만, 사실 휜다리는 무릎과 고관절, 골반에 통증이나 근골격계 질환을 유발하기도 합니다.
그래서 부산오다리, 엑스다리교정 병원을 찾는 분들 중에는 50대에 휜다리를 교정하시는 분들도 있습니다.
진료를 보면 대부분이 O다리이고, 무릎 내측 연골 손상이 심해져서 통증이 나타나는 것을 자주 확인해봅니다.
이런분들은 본인이 오다리, 엑스다리여도 교정을 해야하는지 혹은 교정이 되는지 조차 모르고 있었고, 무릎통증이 남들에 비해 이른나이에 나타나는 것도 그 이유를 모른체 살아오고 있었습니다.
![]()
휜다리, 다리가 휘었는데 교정이 가능할까요?
많은 분들이 휜다리는 다리 뼈가 휘었다고 생각하시는 경우가 많지만 실제로 허벅지와 종아리 뼈 자체가 휘어진 경우는 그리 흔하지 않습니다.
이런 경우는 선천적인 경우라 아기때부터 확인이 가능하며 수술적인 치료가 필요한 케이스입니다.
근위경골절골수술이라고해서 경골을 일부 잘라내어 정상적인 각도가 나오도록 하는 수술입니다.
저도 20년간 진료를 보면서 이런 케이스를 본 적은 1년에 한두건? 정도 되는것 같네요.
![]()

하지만 대부분의 사람들은 뼈가 휘어진게 아니라 대퇴골(허벅지)과 경골(종아리)가 회전이 된 경우입니다.
사진을 보시면 무릎이 안으로 회전된게 보이시나요?
후천적인 요인들에 의해서 대퇴골과 경골이 회전되어 O자 모양이 되거나 X자 모양이 됩니다.
이런 경우에는 부산오다리, 엑스다교정 전문치료를 통해서 회전을 바로 잡아주고 정상정렬로 교정을 하면 바른 다리로 돌아오게 됩니다.
![]()
![]()
그렇다면 대퇴골과 경골은 왜 회전하는걸까요?
평발, 요족과 같은 발의 변형
사람의 발은 인체의 가장 밑에 있기 때문에 발이 틀어지게 되면 발목과 무릎, 고관절, 골반, 척추까지 연쇄적으로 들어지게 됩니다.
평발인 경우에는 발목이 안으로 꺾이게 되면서 무릎이 내회전 하게 되며 반대로 요족은 발목이 바깥으로 꺾이게 되면서 무릎이 외회전하게 됩니다.
![]()
근력부족
여성분들 중에서 엉덩이를 좌우로 왔다갔다 하며 흔히 말하는 씰룩씰룩 거리며 걷는 분들을 본적이 있나요?
이런분들은 특징적인게 중둔근의 약화로 인해서 골반이 안정화가 되지 못해서 걸을 때 마다 골반이 좌우로 왔다갔다 하게 되는 것입니다.
중둔근이 약해지면 고관절이 안정화가 되지 못하기 때문에 대퇴골이 회전하게 됩니다.
![]()
골반 경사로 인한 고관절 회전
골반이 좌우로만 틀어지는 것이 아니라 앞, 뒤로도 회전을 하면서 틀어집니다.
골반이 앞으로 회전하는 골반전방경사가 되면 대퇴골은 안으로 회전할 수 있습니다.
반대로 골반이 뒤로 회전하는 골반후방경사의 경우에는 대퇴골이 밖으로 회전할 수 있습니다.
![]()
잘못된 생활습관
어린아이들이 앉아있을 때 무릎을 모으고 발을 바깥으로 벌리고 앉는 자세라던지, 다리를 꼬는 자세 등이 반복적으로 나타나게 되면 대퇴골이나 경골이 회전할 수 있습니다.
![]()
그럼 그냥 회전만 바로잡으면 될까?
부산오다리, 엑스다리교정 병원까지 가야할까?
그냥 집에서 혼자 근력키우고, 생활습관 고치면 되는거 아닐까?
생각 할 수도 있지만 오다리, 엑스다리 교정 혼자서 셀프로 하면 망합니다.
사람의 뼈는 각각의 뼈들이 인대나 근육들로 연결되어 있기 때문에 서로 영향을 주고 받으면서 변형이 나타나게 되지만 각각 움직이는 변형이 다르게 나타나기도 합니다.
예를들면 골반이 앞으로 회전하면서 대퇴골이 안으로 회전하면 경골도 내회전 할 것 같지만 그렇지 않은 경우도 있습니다.
아니면 요족으로 발목이 바깥으로 회전하면 경골이 바깥으로 회전하면 대퇴골도 밖으로 회전할 것 같지만 변하지 않거나 안으로 회전하는 경우도 있습니다.
참 어렵지요?
저도 20년 넘게 부산오다리, 엑스다리교정 진료를 봐오면서 아직도 체형을 바로잡는게 쉽지 않구나, 사람의 인체는 참 신기하구나 많이 느끼고 있습니다.
그렇기 때문에 막무가내로 셀프로 교정운동을 따라하다보면 오히려 역효과를 볼 수 있기 때문에 반드시 부산오다리 엑스다리교정 전문병원을 방문하여 검사를 받아보시고, 본인 유형에 맞는 치료가 필요합니다.
![]()
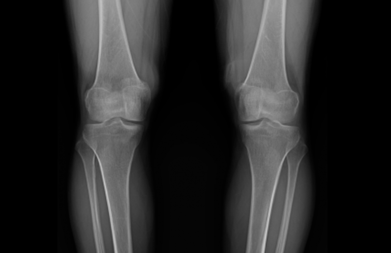
우선적으로 가장 중요한 것은 본인의 휜다리 유형을 살펴보는 것입니다.
O다리, X다리 유형을 살펴보고 관절의 회전이 동반 되었는지, 대퇴골과 경골은 어떻게 회전되었는지 확인합니다.
부산오다리, 엑스다리교정 전문병원을 방문하셔서 검사를 받아보시는 것이 좋습니다.
휜다리 검사와 X-ray를 통해서 확인해볼 수 있습니다.

추나요법
추나요법은 뼈와 관절을 교정하는 한방치료법으로, 전문 교육과정을 이수한 한의사가 직접 진행합니다.
틀어진 골반이나 고관절을 교정하고 대퇴골이나 경골의 회전을 바로잡아 줍니다.

도수치료
과도하게 긴장한 근육을 이완하여 뼈나 관절이 정상위치로 회복하는 것을 돕도록 합니다.
특히 휜다리가 있는 사람들은 하지 근육이 많이 긴장해있기 때문에 도수치료가 큰 도움이 됩니다.

운동 강화 치료
약화된 근육을 강화하는 치료가 필요합니다.
앞서 설명한 것처럼 중둔근의 약화는 고관절 내회전을 유발하고, 평발의 경우 내재근의 약화로 아치가 무너지는 경우도 있습니다.
약화된 근육을 강화하여 뼈와 관절이 정상적인 정렬로 유지될 수 있도록 합니다.

스트레칭
사람은 항상 서고, 걷고, 앉는 동작으로 다리를 많이 사용하죠.
그렇기 때문에 도수치료만으로 근육이 이완되기 어려울 수 있습니다.
부산휜다리교정 전문가를 통해서 본인에게 필요한 스트레칭을 배우셔서 일상생활에서 종종 해주시는 것이 좋습니다.

족부교정기 깔창
평발이나 요족의 경우에는 추나나 도수, 운동을 열심히 해도 다시 회전을 유발하기 때문에 평발과 요족을 교정할 필요가 있습니다.
이때 평발과 요족을 교정하는 족부교정기 깔창을 착용하면 발목과 무릎의 회전을 예방할 수 있습니다.

골반교정
앞에서 말한 것처럼 골반의 회전으로 인해서 대퇴골이 회전이 된다면 골반을 교정해야 휜다리를 교정해줄 수 있습니다.
![]()
부산오다리, 엑스다리교정, 어떤 병원을 가는 것이 좋을까요?
오다리, 엑스다리 교정에서 중요한 것은 휜다리를 유발하는 원인을 함께 치료하는 것입니다.
교정치료비용이 작은 비용이 아니란건 다들 잘 아시죠?
실컷 교정치료 받았는데 원인이 제대로 치료되지 않아서 오다리, 엑스다리가 다시 나타나게 된다면 불필요한 지출을 한거나 다름없겠죠.
그렇기 때문에 휜다리만 교정하는 병원보다는 휜다리를 유발하는 원인을 함께 치료하는 부산오다리, 엑스다리교정 전문병원을 선택하시는 것을 추천드립니다.
결론적으로 정리해드리면
1. 휜다리는 단순히 다리가 휜게 아니라 대퇴골과 경골이 회전한 것입니다.
2. 대퇴골과 경골의 회전하는 이유는 발의변형, 근력부족, 골반틀어짐, 잘못된생활습관 등이 있습니다.
3. 휜다리 교정치료 전 반드시 본인의 유형을 파악하고 치료해야 합니다.
4. 추나요법, 도수치료, 운동치료, 스트레칭, 족부교정깔창, 골반교정 등으로 오다리, 엑스다리교정과 휜다리 원인 교정치료를 할 수 있습니다.
5. 병원을 선택할 때는 꼭 원인을 진단하는 부산오다리, 엑스다리교정 전문병원으로 가시기 바랍니다! 그래야 돈을 아낄 수 있습니다.
- 이전글부산내성발톱교정 후 반복되는 재발? 이것 때문입니다. 25.02.21
- 다음글한의학, 세계를 만나다 - 부산 외국인 환자 체형교정 치료 사례 모음 25.02.20
댓글목록
등록된 댓글이 없습니다.