성장기 아이 척추측만증, 언제부터 검사와 관리가 필요할까
본문
안녕하세요 😊
척추관절통증에 대한 이야기를 나눠볼 연산당당한방병원 병원장 성진욱입니다.
어느 순간부터 자녀의 등이 한쪽으로 기울어 보이거나, 사진을 찍었을 때 어깨 높이가 달라 보였던 경험 한 번쯤 있으셨을 텐데요 📸
학교 검진에서 척추측만증 소견을 듣고 나서 급하게 부산 척추측만증 병원을 검색해 보신 보호자분들도 적지 않으실 거라 생각합니다.
아직 큰 통증은 없는데
‘지금 병원을 가야 할지, 아니면 조금 더 지켜봐도 될지’
고민이 되시는 분들도 많으실 텐데요 🤔
저 역시 진료실에서
“지금 당장은 괜찮은 줄 알았어요.”
라는 말씀을 종종 듣곤 합니다.
하지만 성장기 척추측만증은 경우에 따라 생각보다 빠르게 진행되기도 합니다.
특히 성장 속도가 빠른 시기에는 변화가 눈에 잘 띄지 않다가,
어느 순간 확연히 드러나는 경우도 있죠 📈
"그래서 초기에 정확한 진단과
설명을 듣는 것이 중요한데요."
그렇다면 도대체 병원은 언제 가야 할까요?
성장기 아이에게 나타나는 신호는 무엇일까요?
오늘 빠르게 정리해 드릴 테니
잠시만 시간 내어 읽어보셔도 좋겠습니다 😊

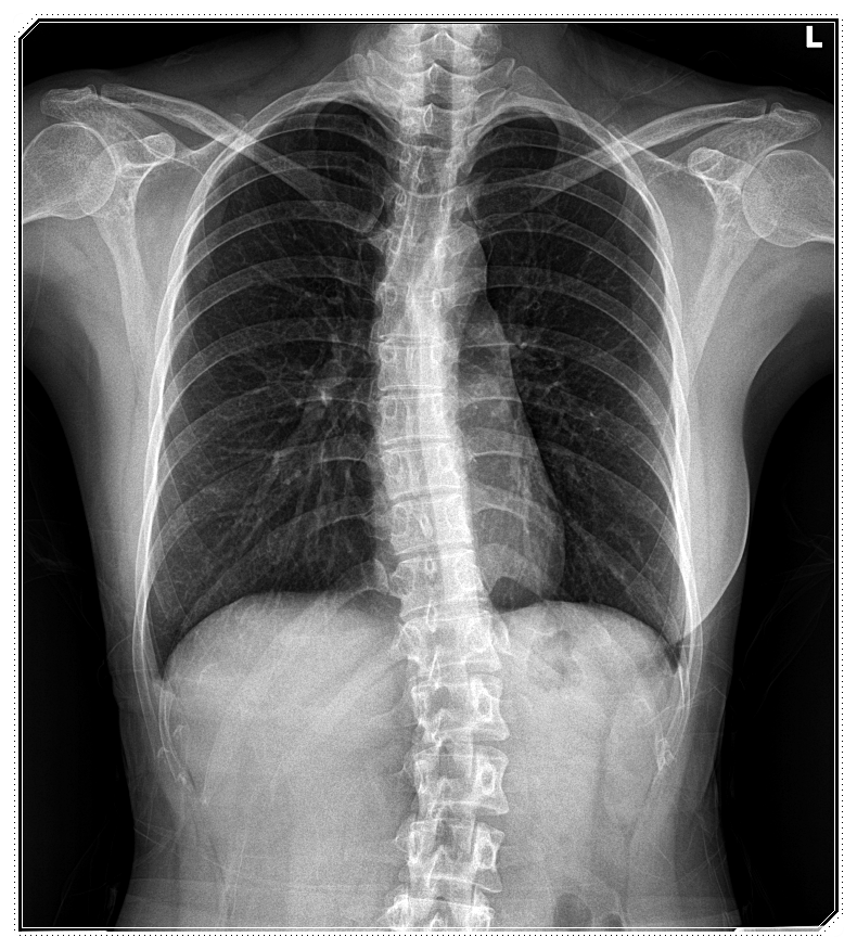
사람마다 다르게 나타났던 이유
척추는 단순히 옆으로만 휘는 구조가 아닙니다.
사람마다 앞·뒤·옆으로 틀어지거나,
비틀리듯 꼬인 형태가 모두 다르게 나타나죠.
그래서 같은 ‘척추측만증’이라 하더라도
휘어진 각도와 방향, 회전 상태는 저마다 다른 양상을 보이게 됩니다.
이 때문에 척추의 변형은
평면적인 관점이 아닌, 3차원적인 구조로 이해하는 것이 중요합니다.
이에 저는 단순히
“몇 도입니다.”로 끝나는 설명은 하지 않는데요.
현재 척추가 어느 방향으로 틀어져 있는지,
어떤 움직임에서 부담이 커지는지까지 함께 살펴보며 설명드리고 있습니다.
이는 무리하거나 과한 교정이 아니라,
지금 아이의 상태를 정확히 이해하고 관리 방향을 잡기 위함입니다 👍

Q. 자세 문제일까요? 아니면 골반 때문일까요?
이런 설명을 드리면 많은 보호자분들께서
“그럼 자세만 바로 잡으면 되지 않을까요?”라고 질문하십니다.
"물론 ‘자세’ 자체는 중요합니다."
하지만 실제로는
골반의 기울어짐, 하체 근육의 긴장도, 보행 습관이
함께 영향을 주는 경우가 많습니다.
예를 들어 평발이 동반된 아이의 경우,
체중이 한쪽으로 쏠리면서 허리와 척추에
반복적인 부담이 쌓일 수 있습니다.
이러한 작은 불균형이 쌓여
허리 불편감이나 쉽게 피로해지는 원인이 되기도 합니다 😥
![]()
Q. 슈로스 운동이 뭔데요? 어떻게 해야 돼요?
슈로스 운동은
척추측만증 관리에 활용되는 방법 중 하나입니다.
다만 중요한 점은
모든 아이에게 같은 동작을 적용하지 않는다는 것인데요.
앞서 말씀드렸듯이
척추가 틀어진 방향과 각도, 현재 성장 단계에 따라
접근 방식은 달라져야 합니다.
저는 슈로스 접근 시에도
‘얼마나 교정했는지’보다는
아이가 일상 속에서 무리 없이 유지할 수 있는지에
더 큰 비중을 두고 있습니다.
"잘 생각해 보세요."
운동은 잠깐일 수 있지만,
습관은 매일 반복됩니다 🔁
![]()
Q. 왜 발과 보행을 함께 볼까요?
척추는 몸의 중심입니다.
하지만 그 아래에서 이를 받쳐주는 것은 발이죠 👣
그래서 걸을 때 체중이 어떻게 분산되는지,
발이 어느 쪽으로 쏠리는지를 함께 살펴보게 됩니다.
이 과정은 전신 균형을 이해하는 데 큰 도움이 됩니다.
필요한 경우에는
족부 평가와 깔창 교정을 통해
체중 분산을 돕는 것도 하나의 관리 방법이 될 수 있습니다.
이처럼 접근하면
척추를 직접 ‘치료한다’기보다는
전신의 균형을 바로잡아 척추에 가해지는 부담을 줄이는 과정에 가깝습니다.
병원 주변 학교에 다니는 학생들이
잠깐 시간을 내어 방문하는 이유도
일상과 연결된 설명을 듣고 싶어서가 아닐까 생각해 봅니다 😊
![]()
![]()
Q. 그냥 두면 어떻게 되나요?
사실 성장하면서
자연스럽게 좋아지는 경우도 분명 있습니다.
하지만 반대로
관리 시기를 놓쳐 진행되는 사례도 존재합니다.
겉으로 보기엔 큰 변화가 없어 보여도,
실제 구조를 한 번 확인해 보는 것은
이후 선택을 위해 꼭 필요한 과정입니다.
그러니 부산 척추측만증 병원을 찾는 이유는
불안을 키우기 위함이 아니라,
현재 위치를 정확히 알기 위함이라고 생각해 주세요 🙏
![]()
성장기 척추측만증은
단순히 척추만의 문제가 아닐 수 있습니다.
발·골반·근육·자세·습관이 연결된
전신 균형의 문제로 보여질 수 있죠.
그래서 더욱
척추가 틀어진 방향과 각도,
그리고 3차원적인 구조를 함께 고려한 접근이 중요해집니다.
"아직 부산 척추측만증 병원 선택을
고민하고 계신가요?"
그렇다면 오늘 말씀드린 내용을 잘 이해하고 있는
의료진의 설명과 도움을 통해
현재 상태를 차분히 살펴보시길 권해드립니다.
작은 이해의 차이가
아이의 일상과 미래에 분명한 영향을 줄 수 있을 것입니다 🌱
글로나마 도움이 되었으면 하는 마음으로 적다 보니
조금 길어진 글이 되었네요.
그럼에도 오늘도 끝까지 읽어주셔서
진심으로 감사드립니다 😊
※ 이 글은 일반적인 건강 정보 제공을 위한 것이며,
개인의 증상에 따라 의료진의 진료와 상담이 필요할 수 있습니다.
- 이전글발목 접질림이 반복된다면 꼭 확인해야 할 회복 기준 26.01.16
- 다음글평일 힘든 직장인도 가능한 일요일 통증 관리법 26.01.15
댓글목록
등록된 댓글이 없습니다.